Pseudocirrhosis Today: Understanding And Managing

O.Franklymedia 24 views
Pseudocirrhosis Today: Understanding And Managing

Pseudocirrhosis Today: Understanding and Managing

Hey everyone! Let’s dive into something that might sound a bit scary but is super important to understand: pseudocirrhosis . You might have heard this term thrown around, maybe in a medical context or when discussing certain liver conditions. Essentially, pseudocirrhosis today refers to a condition where the liver develops a nodular appearance, mimicking the look of true cirrhosis, but without the underlying widespread fibrosis and architectural distortion characteristic of actual cirrhosis. It’s like a disguise, guys! This appearance can arise from various medical situations, and understanding its causes, implications, and how it’s managed is key. We’re going to break down what this means for your health, why it happens, and what doctors look for. So, stick around as we unravel the complexities of pseudocirrhosis in a way that’s easy to get. We’ll explore the nuances that differentiate it from genuine cirrhosis and discuss the diagnostic approaches that help pinpoint its origin. This condition, while visually similar to its more severe counterpart, often has a different prognosis and requires a tailored management strategy. Understanding this distinction is vital for healthcare professionals and patients alike, ensuring accurate diagnosis and effective treatment plans. We’ll also touch upon the various etiologies that can lead to this misleading liver morphology, highlighting how different underlying diseases can manifest in a similar pattern. The goal here is to empower you with knowledge, making those potentially confusing medical terms a little less daunting. Remember, knowledge is power, especially when it comes to your health, and pseudocirrhosis is no exception. We’ll ensure that by the end of this article, you’ll have a clearer picture of what pseudocirrhosis entails and how it impacts liver health, setting the stage for more informed discussions with your doctor.

Causes and Diagnostic Clues of Pseudocirrhosis

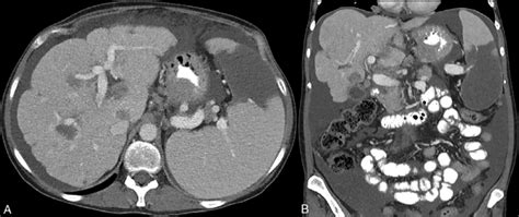
So, what exactly causes this tricky condition we call pseudocirrhosis today ? It’s not one single thing, but rather a collection of different scenarios that can lead to this nodular appearance of the liver. One of the most common culprits is Budd-Chiari syndrome , especially when it’s chronic. Think of this as a blockage in the veins that drain blood from the liver. When blood can’t get out efficiently, the liver can become congested, leading to changes that can look like pseudocirrhosis on imaging. Another significant cause is hepatic vein obstruction from other reasons, like clots or external compression. We also see it in conditions involving portal hypertension , where the pressure in the portal vein (which brings blood to the liver) is abnormally high. This can happen due to problems before the blood reaches the liver, like spleen enlargement, or within the liver itself, even if it’s not true cirrhosis. Certain types of infiltrative diseases , such as some cancers that spread to the liver (metastases) or rare conditions like sarcoidosis, can also create a nodular pattern that mimics cirrhosis. Even severe fatty liver disease in some cases, when it’s really advanced and causes significant inflammation and scarring in localized areas, might present with features that can be confused with pseudocirrhosis. The diagnostic journey to figure out pseudocirrhosis involves a combination of tools. Imaging studies like ultrasounds, CT scans, and MRIs are usually the first step. They can show the nodular texture of the liver. However, imaging alone isn’t always definitive because, as we’ve discussed, it can resemble true cirrhosis. That’s where blood tests come in. Doctors will look at liver function tests, but they also need to investigate the cause . For example, if Budd-Chiari syndrome is suspected, tests might involve looking for blood clotting disorders. If infiltration is a concern, tumor markers or specific blood tests for inflammatory conditions might be ordered. Ultimately, a liver biopsy is often the gold standard for a definitive diagnosis. A small piece of liver tissue is examined under a microscope. This allows pathologists to see the specific changes, confirm the absence of widespread fibrosis of true cirrhosis, and identify any underlying cellular abnormalities or infiltrates that point to the correct cause. This detailed examination is crucial for differentiating pseudocirrhosis from true cirrhosis and guiding the appropriate treatment. The key takeaway here is that this nodular appearance is a sign , not a disease in itself, and finding that underlying cause is paramount.

Distinguishing Pseudocirrhosis from True Cirrhosis

This is probably the most crucial part, guys: how do we tell pseudocirrhosis apart from true cirrhosis? It’s a big deal because, while they might look similar on the surface (or rather, on the scan!), their implications and management are quite different. True cirrhosis is characterized by extensive and irreversible scarring (fibrosis) throughout the entire liver, disrupting its normal structure and function. This scarring is usually a result of chronic liver injury, like long-term viral hepatitis (B or C), chronic alcohol abuse, or autoimmune liver diseases. The liver becomes hard, lumpy, and eventually struggles to perform its vital tasks. Pseudocirrhosis, on the other hand, presents with nodules and a somewhat distorted appearance, but the underlying architecture is often preserved to a greater extent, and the fibrosis isn’t as diffuse and generalized. Think of it this way: in true cirrhosis, the entire building has been fundamentally reconstructed with faulty materials. In pseudocirrhosis, it might look like there are some major renovations or even some structural damage in specific areas, but the core framework is often intact. The distinction is often made through a combination of clinical suspicion, imaging characteristics, and most importantly, a liver biopsy . While imaging can be suggestive, sometimes the nodular appearance seen in pseudocirrhosis can be quite convincing, mimicking cirrhosis. However, experienced radiologists and pathologists can often spot subtle differences. For instance, the pattern of nodule formation might differ, or certain blood vessels might appear more patent (open) in pseudocirrhosis than in advanced cirrhosis. The liver biopsy is where the definitive diagnosis is often cemented. Under the microscope, a pathologist will look for the extent and pattern of fibrosis. In cirrhosis, they’ll see widespread scarring bands that encircle regenerative nodules, completely disrupting the liver’s normal lobular architecture. In pseudocirrhosis, while nodules might be present, the fibrosis might be more localized, or the regenerative process might be different, and crucially, the diffuse, widespread scarring is absent. The key is that the cause of the nodularity is different. In cirrhosis, it’s typically chronic inflammation and repair. In pseudocirrhosis, it’s often related to issues like blood flow obstruction (like Budd-Chiari syndrome), where the liver tissue reacts to chronic congestion or ischemia, leading to compensatory regeneration and a nodular appearance without the diffuse fibrotic process. This differentiation is super important because the treatment strategies vary significantly. Managing true cirrhosis often focuses on slowing disease progression, managing complications (like ascites or encephalopathy), and in severe cases, liver transplantation. Managing pseudocirrhosis, however, is primarily about treating the underlying cause . If it’s Budd-Chiari syndrome, the focus might be on anticoagulation or procedures to open the blocked veins. If it’s an infiltrative disease, treating that specific condition is key. So, while they share a visual resemblance, understanding the underlying pathology is what truly sets them apart and dictates the path forward for patient care.

Managing Pseudocirrhosis: Treatment Strategies

Alright guys, so we’ve established that pseudocirrhosis today looks like cirrhosis but isn’t quite the same thing. Now, let’s talk about the nitty-gritty: how is it actually managed? The good news is that because pseudocirrhosis is often a consequence of an underlying, treatable condition, the management strategy focuses heavily on addressing that root cause. This is a critical point, as it differs significantly from managing true cirrhosis, where the scarring is often irreversible and the focus shifts to supportive care and complication management. For instance, if the pseudocirrhosis is a result of chronic Budd-Chiari syndrome or hepatic vein obstruction, the primary goal is to restore or improve blood flow. This might involve anticoagulant therapy to prevent further clot formation or to treat existing clots. In some cases, interventional radiology procedures like angioplasty or stenting might be used to open up narrowed or blocked veins. Surgical shunts could also be an option in specific situations to reroute blood flow and relieve the pressure. If the pseudocirrhosis is caused by portal hypertension due to reasons other than cirrhosis (like splenic vein thrombosis), managing that specific issue becomes the priority. This could involve treatments aimed at reducing the pressure in the portal system or addressing the source of the blockage. When infiltrative diseases are the cause, such as metastatic cancer or certain inflammatory conditions, the treatment is tailored to that specific disease. For cancers, this might mean chemotherapy, radiation, or surgery. For inflammatory conditions like sarcoidosis, corticosteroids or other immunosuppressive agents might be used to control the inflammation and prevent further liver damage. In cases where severe fatty liver disease has led to localized nodularity, lifestyle modifications such as weight loss, a healthy diet, and exercise become paramount. Managing diabetes and high cholesterol, which often accompany fatty liver, is also crucial. The goal here is to reduce fat accumulation and inflammation in the liver. It’s important to note that while the underlying cause is being treated, doctors will also monitor the liver function closely. Regular follow-up appointments , including blood tests and imaging, are essential to assess the effectiveness of the treatment and to detect any progression or new complications. While pseudocirrhosis itself might not always be reversible in terms of its appearance, successfully treating the underlying cause can often halt further progression and allow the liver to function much better. In some instances, with effective treatment of the primary condition, the nodular appearance might even improve over time, although the underlying changes may persist. The key message here is that a diagnosis of pseudocirrhosis prompts a thorough investigation into its cause, and once identified, a targeted and aggressive treatment plan is implemented. This approach offers a much more optimistic outlook compared to managing established, irreversible cirrhosis. It underscores the importance of accurate diagnosis and the power of addressing the root of the problem. Always remember to discuss your specific condition and treatment options thoroughly with your healthcare provider.

Living with Pseudocirrhosis and Future Outlook

So, what does living with pseudocirrhosis today actually look like, and what’s the general outlook for folks dealing with this condition? It’s a valid question, and the answer really hinges on what’s causing the pseudocirrhosis in the first place and how effectively that underlying issue can be managed. As we’ve discussed, pseudocirrhosis isn’t a disease in itself but rather a sign that something else is going on with the liver. Therefore, the prognosis is intrinsically linked to the prognosis of the primary condition. If the underlying cause, like Budd-Chiari syndrome, is successfully treated and blood flow is restored, patients can often lead relatively normal lives. They’ll likely need ongoing monitoring, perhaps regular check-ups with their hepatologist or a specialist, and adherence to any prescribed medications, such as anticoagulants. Lifestyle factors remain important too; maintaining a healthy weight, a balanced diet, avoiding excessive alcohol, and managing conditions like diabetes and high blood pressure are beneficial for overall liver health, regardless of the specific diagnosis. For conditions that are more chronic or challenging to manage completely, the outlook might involve more long-term medical supervision and potentially a higher risk of complications, although generally less severe than those seen in advanced true cirrhosis. However, it’s crucial to remember that even with a nodular liver appearance, if the underlying problem is effectively controlled, the liver’s function can be preserved, and severe consequences can be avoided. This is where the distinction from true cirrhosis becomes really important. True cirrhosis, especially when advanced, carries a significant risk of serious complications like liver failure, gastrointestinal bleeding from varices, and hepatic encephalopathy, and often leads to a need for liver transplantation. While pseudocirrhosis can lead to some of these issues if the underlying cause isn’t managed, the pathological process is different, and often, the liver’s functional reserve is better maintained. The future outlook is also influenced by advancements in medical technology and treatment. As our understanding of liver diseases grows and new therapies emerge for conditions like blood clotting disorders or specific types of cancers, the management and prognosis for pseudocirrhosis are likely to continue improving. Early diagnosis, thanks to more sensitive imaging techniques and increased awareness among clinicians, plays a massive role. Catching these conditions early means treatment can be initiated sooner, leading to better outcomes. In essence, living with pseudocirrhosis means being vigilant about your health, working closely with your medical team, and focusing on managing the root cause. It’s a condition that requires understanding and proactive care, but with the right approach, many individuals can maintain a good quality of life. It’s a testament to the fact that not all nodular livers mean the end of the world, and understanding the specifics can make all the difference. Keep those conversations going with your doctor, stay informed, and remember that managing your health is a journey.