Pseudogestational Sac: What It Is And Why It Matters

O.Franklymedia 137 views
Pseudogestational Sac: What It Is And Why It Matters

Pseudogestational Sac: What It Is and Why It Matters

Hey everyone! Let’s dive into something a bit technical but super important in the world of pregnancy: the pseudogestational sac . You might have heard this term tossed around, especially if you’re on a pregnancy journey or know someone who is. So, what exactly is this ‘pseudo’ thing, and why should we care? Essentially, a pseudogestational sac, also known as a decidual sac or pseudocyesis sac, is a condition that can mimic a true gestational sac on early ultrasound scans. This is a crucial point because misinterpreting it can lead to unnecessary stress and potentially incorrect medical decisions. We’re talking about a sac-like structure within the uterus that looks like a pregnancy sac but isn’t. It’s formed by the decidua, which is the thickened lining of the uterus during pregnancy. In a normal pregnancy, the fertilized egg implants into this decidual lining, and the gestational sac develops around it. However, in cases of ectopic pregnancy or even very early, non-viable intrauterine pregnancies, the body still prepares the uterine lining as if a normal pregnancy is occurring. This preparation leads to the formation of this pseudogestational sac. Understanding this distinction is paramount for accurate diagnosis and timely management of pregnancy complications. It’s not just about spotting a sac; it’s about what that sac represents and its implications for the patient’s health.

The Science Behind the Pseudogestational Sac

Alright guys, let’s get a little deeper into the science of the pseudogestational sac . So, how does this thing even form? It all starts with hormones. When a woman gets pregnant, her body floods with hormones like progesterone and estrogen. These hormones tell the uterus, ‘Hey, get ready! We might have a baby coming!’ This preparation involves thickening the uterine lining, called the decidua. Think of it like building a cozy nest for a potential embryo. Now, in a typical pregnancy , a fertilized egg successfully implants in this super-prepared decidua. A true gestational sac, which contains the developing embryo and amniotic fluid, then forms within this decidual tissue. However, sometimes things don’t go as planned. In an ectopic pregnancy, the fertilized egg implants outside the uterus, most commonly in the fallopian tube. Even though the egg isn’t in the right place, the body’s hormonal signals are still firing. The uterus, unaware of the implantation site, continues to build up its decidual lining. This thickened lining can then collapse inwards, forming a central space or cavity. This cavity, lined by the decidua, is what we see on an ultrasound and call a pseudogestational sac. It looks like a sac because it’s surrounded by the decidual tissue, but there’s no embryo or yolk sac inside it. It’s essentially a fluid collection within the decidualized endometrium. Another scenario where a pseudogestational sac might appear is in a very early, non-viable intrauterine pregnancy. The body might still respond hormonally, leading to decidualization, but the pregnancy itself doesn’t develop properly. The key differentiator on ultrasound is the absence of a developing embryo, yolk sac, or the typical double-ring sign seen in a true gestational sac. The decidua parietalis (lining of the uterine wall) and decidua capsularis (lining covering the sac) meet, and this space between them is what forms the pseudogestational sac. It’s a physiological response, albeit one that can be confusing to spot on imaging. The presence of this sac, without other definitive signs of an intrauterine pregnancy, raises a red flag and necessitates further investigation to rule out ectopic pregnancy or other complications. So, it’s the hormonal cascade and the uterine lining’s response that create this often-misleading structure.

Why Early Detection Matters

Okay, so we’ve established that a pseudogestational sac can look a lot like a real pregnancy sac on an ultrasound. Why is it so darn important to catch this early, guys? Well, it boils down to patient safety and making sure the right treatment is given at the right time. The most critical reason for identifying a pseudogestational sac is to help diagnose or rule out an ectopic pregnancy . Remember, an ectopic pregnancy is when a fertilized egg implants outside the uterus, most commonly in the fallopian tube. This is a life-threatening condition because the fallopian tube cannot stretch and support a growing pregnancy. If left untreated, it can rupture, causing severe internal bleeding, shock, and even death. When an ultrasound shows a pseudogestational sac in the uterus, doctors need to be extremely vigilant. While it could be a non-viable intrauterine pregnancy or just a pseudocyesis (a false pregnancy), the possibility of an ectopic pregnancy elsewhere in the abdomen or pelvis must be thoroughly investigated. The goal is to find the true location of the pregnancy. If a definitive intrauterine pregnancy (with a yolk sac or embryo) isn’t seen, and a pseudogestational sac is present, it significantly increases the suspicion for an ectopic pregnancy. Early detection of ectopic pregnancy allows for prompt medical or surgical intervention, saving the patient’s life and potentially preserving fertility. Delaying diagnosis can have dire consequences. Furthermore, understanding the presence of a pseudogestational sac helps clinicians manage expectations and avoid premature conclusions about a viable intrauterine pregnancy. It prevents unnecessary anxiety for the patient and ensures that diagnostic efforts are focused correctly. In essence, spotting a pseudogestational sac is not an endpoint but a crucial clue that guides further investigation, ensuring that serious conditions like ectopic pregnancy are addressed swiftly and effectively, ultimately prioritizing the health and well-being of the patient. It’s all about making sure we’re not missing something that could be incredibly dangerous.

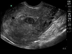
How is it Diagnosed?

So, how do the docs actually figure out if what they’re seeing on the ultrasound is a pseudogestational sac or the real deal? It’s all about careful observation and looking for specific clues, guys. The primary tool here is, you guessed it, an ultrasound . Early in pregnancy, a true gestational sac typically has a very specific appearance. It’s usually a well-defined, round or oval structure within the uterine lining, often described as having a ‘double-decidual sac sign’. This sign refers to the interface between the decidua capsularis and the decidua parietalis, creating a distinct ring around the developing sac. A pseudogestational sac, on the other hand, often looks less defined. It might be eccentrically located within the uterine cavity and often lacks that clear double-decidual sac sign. It can appear more like a ‘sludge’ or a collection of fluid within the thickened uterine lining, rather than a distinct, well-formed sac. Transvaginal ultrasound is usually preferred for these early assessments because it provides a much clearer and more detailed image of the uterus and surrounding structures compared to a transabdominal scan. What else are the doctors looking for? They’re searching for other definitive signs of an intrauterine pregnancy. This includes the presence of a yolk sac , which is one of the first visible structures within the gestational sac, and later, a fetal pole or embryonic heartbeat . If an ultrasound shows a decidualized uterine lining and a sac-like structure, but no yolk sac or embryo is seen, especially after a certain gestational age (often around 5-6 weeks of pregnancy), the suspicion for a pseudogestational sac increases significantly. Serial ultrasounds are often employed. This means repeating the ultrasound a few days or a week later. If it was a true early pregnancy, you’d expect to see growth – the yolk sac developing, the sac enlarging, and maybe even a heartbeat. If the ‘sac’ remains unchanged or the decidual reaction simply resolves, it further supports the diagnosis of a pseudogestational sac, indicating a non-viable pregnancy or no pregnancy at all. Beta-hCG levels (the pregnancy hormone) also play a crucial role. In a normal intrauterine pregnancy, hCG levels rise predictably. In cases of ectopic pregnancy or non-viable intrauterine pregnancy, hCG levels might rise slower, plateau, or even fall. Comparing the ultrasound findings with the trend of hCG levels helps clinicians make a more accurate diagnosis. So, it’s a combination of what the ultrasound shows, the absence of key pregnancy markers, and the pattern of hormone levels that helps doctors differentiate a pseudogestational sac from a healthy, developing pregnancy. It’s a puzzle, and they’re looking for all the pieces.

Distinguishing from Other Conditions

Okay, so we’ve talked about what a pseudogestational sac is and how it’s diagnosed. But sometimes, doctors need to be extra sure, because other things can throw a curveball. It’s not just about telling it apart from a real pregnancy sac; it’s also about ruling out other conditions that might look similar on an ultrasound. One of the main things they need to differentiate it from is an intrauterine hematoma or subchorionic hematoma. This is basically a collection of blood within the uterine lining, often associated with bleeding. While it can also appear as a fluid-filled space, it typically doesn’t have the same smooth, defined wall that a pseudogestational sac or a true gestational sac might have. It might look more irregular. Another condition to consider is retained products of conception . This happens if a pregnancy was lost (miscarriage) and not all the tissue was expelled from the uterus. Ultrasound might show echoes or irregular tissue within the uterine cavity. A pseudogestational sac, however, is usually a more distinct, albeit non-embryonic, sac-like structure within a uniformly thickened decidual lining. Molar pregnancies (gestational trophoblastic disease) can also present with abnormal uterine contents, but they typically have a very characteristic ‘snowstorm’ appearance on ultrasound, with multiple small cysts, which is quite different from the appearance of a pseudogestational sac. Fibroids or polyps within the uterus could also potentially be mistaken for something within the cavity, but their solid nature and distinct appearances usually make them easier to identify. The key for distinguishing a pseudogestational sac is its specific context: it occurs in a decidualized uterus, mimics a gestational sac in its general shape but lacks embryonic contents, and is often seen in conjunction with a pregnancy of unknown location or suspected ectopic pregnancy. The combination of ultrasound findings , patient history (like last menstrual period, symptoms of pregnancy or bleeding), and serial hCG monitoring are crucial for making the correct diagnosis and ruling out these other possibilities. It’s about piecing together all the available information to get the clearest picture possible and ensure the patient receives the appropriate care. It’s a complex diagnostic process, but essential for patient well-being.

What Happens Next?

So, you’ve had an ultrasound, and the term pseudogestational sac has come up. What does this mean for what happens next, guys? Well, it really depends on the overall clinical picture. The most crucial factor is whether there are any other signs pointing towards a life-threatening ectopic pregnancy . If the doctor suspects an ectopic pregnancy because of the pseudogestational sac, elevated hCG levels that aren’t rising appropriately, and perhaps symptoms like pain or bleeding, then immediate and thorough investigation is paramount. This might involve more detailed imaging, possibly even an MRI in rare cases, and close monitoring of hCG levels. If an ectopic pregnancy is confirmed, treatment is urgent and may involve medication (like methotrexate) or surgery to remove the pregnancy from outside the uterus. The priority is to prevent rupture and save the patient’s life. On the flip side , if the clinical picture is less concerning for an ectopic pregnancy – for instance, if the patient has no pain, minimal or no bleeding, and hCG levels are very low or not rising significantly – then the pseudogestational sac might simply represent a very early, non-viable intrauterine pregnancy or perhaps even a chemical pregnancy that didn’t progress. In such cases, the next step is usually expectant management or repeat monitoring . This means the healthcare provider will likely schedule follow-up ultrasounds and blood tests (hCG levels) over a period of days or weeks. The goal is to observe whether the uterine lining returns to normal, whether any remaining tissue is passed, or if any new signs of a viable pregnancy emerge (which would be unlikely if it was truly a pseudogestational sac). Often, the ‘sac’ simply resolves on its own, and the lining returns to its non-pregnant state. It’s important to remember that the presence of a pseudogestational sac alone doesn’t automatically mean something is terribly wrong, but it does require careful evaluation. It’s a sign that the body responded to pregnancy hormones, but the pregnancy itself either didn’t implant correctly, implanted outside the uterus, or failed to develop. The ‘what happens next’ is all about using this finding as a starting point for a thorough diagnostic process to ensure the patient’s safety and guide appropriate care. It’s about ruling out the worst-case scenarios first and then proceeding based on the findings. Communication with your doctor is key throughout this process to understand what each step means for you.

Living with Uncertainty

Navigating the early stages of pregnancy can be a rollercoaster, and finding out about a pseudogestational sac can add a whole new layer of uncertainty, guys. It’s totally normal to feel anxious, confused, or even scared when you’re told that what looks like a pregnancy sac isn’t actually a developing baby. This uncertainty is perhaps the hardest part for many people. You might be waiting for follow-up appointments, waiting for blood test results, or just waiting to see what happens. This waiting period can feel endless, and it’s crucial to have support systems in place. Talk to your partner, trusted friends, or family members about how you’re feeling. Lean on them for emotional support. Healthcare providers are also a vital resource. Don’t hesitate to ask questions – no matter how small they might seem. Understanding the diagnostic process, what the tests mean, and what the potential outcomes are can help alleviate some of the anxiety. Write down your questions before appointments so you don’t forget them. It’s also important to practice self-care during this time. This might mean engaging in relaxing activities, ensuring you’re getting enough rest, eating nutritious food, and avoiding unnecessary stress. Focus on what you can control – your well-being. Some people find comfort in joining online support groups for early pregnancy complications or loss, where they can connect with others who are going through similar experiences. Sharing stories and feelings can be incredibly validating. Remember, this phase of uncertainty is usually temporary. Whether it leads to a confirmed viable pregnancy (less likely if a true pseudogestational sac is diagnosed), the diagnosis of an ectopic pregnancy requiring treatment, or the confirmation of a non-viable pregnancy, there will eventually be clarity. The journey might not be what you initially expected, but focusing on getting through each day, seeking support, and trusting your medical team can make the experience more manageable. It’s tough, but you’re not alone in facing these challenging moments. We’re all just trying to figure things out, and it’s okay to feel overwhelmed sometimes.

When to Seek Further Help

Even though the diagnosis of a pseudogestational sac is usually made by a medical professional using imaging and lab tests, there are definitely times when you need to seek further help or pay extra attention, guys. The most critical situation is if you suspect you might have an ectopic pregnancy . Symptoms like severe pelvic pain , especially if it’s one-sided, sharp abdominal cramps , shoulder pain (which can be referred pain from internal bleeding), dizziness , fainting , heavy vaginal bleeding , or feeling extremely weak are red flags. If you experience any of these symptoms, especially in combination, you need to seek immediate medical attention – go to the nearest emergency room or call emergency services. Don’t wait. Delaying care for a suspected ectopic pregnancy can be life-threatening. Beyond the acute emergency signs, if you’re feeling overwhelmed by anxiety or distress due to the uncertainty surrounding the pseudogestational sac diagnosis, it’s important to seek help. Talk to your doctor about your concerns. They can offer reassurance, explain the next steps clearly, or even refer you to a mental health professional or counselor who specializes in reproductive health. Sometimes, just having someone to talk to who understands the emotional toll can make a huge difference. Also, if you experience unexpected or worsening symptoms that weren’t previously discussed with your doctor – such as new or increased bleeding, fever, or chills – it’s always best to get checked out. While these might not always be related to the pseudogestational sac, any new or concerning symptom during early pregnancy warrants a call to your healthcare provider. Trust your instincts; if something feels wrong, it’s worth getting it checked out. Your health and well-being are the top priority, and seeking timely help, whether for a physical emergency or emotional support, is a sign of strength, not weakness. Don’t hesitate to reach out when you need it.

Conclusion

Ultimately, understanding the pseudogestational sac is about appreciating the complexities of early pregnancy and the vital role of accurate medical diagnosis. While it might initially seem alarming, this finding is a diagnostic clue, not necessarily a definitive negative outcome. It highlights the body’s hormonal response to potential pregnancy, even when the pregnancy itself may not be viable or may be located outside the uterus. For healthcare providers, recognizing a pseudogestational sac requires careful ultrasound interpretation, correlation with hCG levels, and diligent exclusion of dangerous conditions like ectopic pregnancy. For individuals experiencing this, it often means navigating a period of uncertainty, emphasizing the importance of open communication with doctors, seeking emotional support, and prioritizing self-care. Remember, guys, timely diagnosis and appropriate management are key to ensuring the best possible outcomes, whether that involves treating an ectopic pregnancy, managing a non-viable pregnancy, or simply monitoring the return of the body to its baseline state. It’s a journey that requires patience, trust in medical expertise, and self-compassion.